갑상선 양성 낭포 검진 결과, 큰 사이즈 결절, 괜찮을까?

Q. 우연한 검진 기회에 갑상선 검사를 받게 되었는데 목에 비교적 큰 사이즈의 갑상선 양성 낭종이 발견되었습니다. 괜찮을까요?

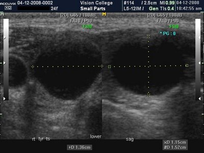
갑상선 낭포는 일반적으로 수류를 말하며 결절은 단단한 형태의 종괴를 말합니다.물집의 경우 비교적 부드럽고 양성질환일 가능성이 높으므로 통증이나 호흡곤란 같은 특별한 증상을 일으키지 않으면 경과를 지켜보는 것만으로도 충분합니다.

다만 갑상선 양성낭종의 크기가 커지거나 혹으로 인해 갑상선 조직 일부가 압박되어 통증, 호흡곤란, 연하장애 등이 있는 경우에는 수술적인 방법을 제거받는 방법도 고려해야 합니다. 통상 갑상선 양성 낭종의 크기는 1~3cm 정도이며,

작은 경우가 많아요. 일부는 4~6cm 이상에서 큰 낭종이 발견되는 경우도 있지만, 이 경우 크기가 작은 것은 아니기 때문에 정기적인 추적 관찰을 통해 결절 크기가 증가하지 않는지 확인해야 합니다. 물 또는 시간이 지남에 따라

자연스럽게 크기가 작아지는 경우도 많기 때문에 경과관찰이 중요하다는 점을 다시 한번 알려드리며 목에 생긴 응어리가 신경 쓰이고 스트레스를 받거나 통증, 갑상선암에 대한 불안감 등이 있다면 고주파열치료술을 통해 빠르게 제거도

가능하기 때문에 외과 전문의와 충분한 상담을 하는 것이 좋습니다.우연한 갑상선 검진이 아닌 정기적으로 갑상선 병원을 방문해 주시기 바라며 갑상선 양성 낭종 이외에도 갑상선암과 석회화, 갑상선염 등 다양한 질환에 대한 갑상선 클리닉 진료를 받고 있으니 부담없이 내원하여 확인하시기 바랍니다.

#갑상선양성종양 #갑상선종양 #갑상선검진결과 #갑상선건강검진 #갑상선병원 #갑상선양성낭종 #갑상선낭종 #유미안외과

서울특별시 강동구 천호대로 1111 정우빌딩

error: Content is protected !!