
20대 환자로 2주 전부터 반복되는 기침 및 최근 발생한 오른쪽 가슴통을 주소로 내원하였습니다.
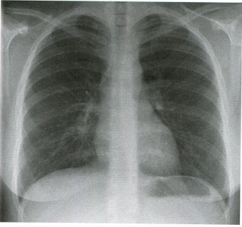
청진 및 기본진찰상 큰 이상소견은 없었으나 반복되는 기침 원인 확인 및 늑막염 및 폐렴 등의 가능성을 감별하기 위하여 흉부 엑스레이를 촬영하였으며 이상소견은 없으며 투약 후 경과를 보았습니다.
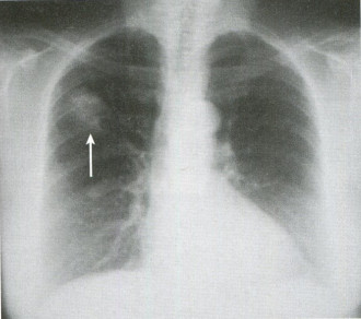
3일간 약을 복용한 후 기침은 어느 정도 완화되었으나 여전히 오른쪽 가슴 통증이 지속되어 드물긴 하지만 기침 시 갈비뼈 골절이 유발될 수 있어 갈비뼈 X선을 촬영하였습니다.
갈비뼈 X선에서는 골절 등 이상 소견이 없었으나 흉통이 호전되지 않고 지속되고 있으며 X선에서는 잘 확인되지 않는 미세 골절 여부를 확인하기 위해 갈비뼈 초음파를 실시하였습니다.
초음파에서는 왼쪽 갈비뼈 한 곳에 미세 골절이 확인됐고 갈비뼈 형성이 진행된 상태에서 골절은 1~2주 전에 발생했을 가능성이 높았습니다. 갈비뼈 골절 진단 후 환자는 통증에 대한 약물 치료 및 윤동 제한 및 안정 후 증상 호전 및 골절 부위 유착으로 회복되었습니다.



풍암동의 유명한 내과에는 흉통이 있는 환자들이 많이 계십니다.그 중 일부는 외상은 없지만 우연히 갈비뼈 골절로 진단될 수 있습니다.
지속되는 흉통이 있음에도 불구하고 엑스레이 등에 이상 소견이 없으며 최근 운동이나 심한 기침 또는 물건을 옮긴 후 발생한 흉통 등의 증상이 있다면 한 번 정도는 초음파 검사를 해 보는 것이 좋습니다.갈비뼈 골절(늑골 골절) 늑골 골절은 흉곽을 둘러싼 갈비뼈에 발생하는 골절로 통상 충격을 받은 지점이나 그보다 후방의 가장 약한 부분에서 골절이 발생합니다.갈비뼈 골절이 발생하며 주로 기침을 하거나 심호흡을 할 때 통증이 있고 골절된 갈비뼈 부위를 만질 때 심한 통증이 유발됩니다.
▶ 원인 : 흉부타박상(가장 일반적인 원인), 심한 기침, 운동(골프, 야구 등) 갈비뼈 골절은 타박상이나 외상에 의해 발생하나 그 외에도 과도한 신부전이 유발되는 운동이나 드문 경우 기침에 의해 유발될 수도 있습니다.
▶ 진단 흉부 엑스레이 – 가장 기본적으로 할 수 있는 검사 방법, 미세 골절의 경우 엑스레이로 확인하기 어려운 초음파 검사 – 엑스레이 검사상 골절 소견이 관찰되지 않을 경우 갈비뼈 골절 진단에 사용 가능.미세 골절 확인 및 주변 장기 손상을 확인할 수 있다는 장점이 있다.뼈 주사 검사, 흉부 CT-X선 검사상 확인되지 않은 골절 감별로 사용 가능.
▶ 치료 통증 조절 운동 제한 및 안정 : 처음 3~4주 동안은 격렬한 활동을 피해야 하며, 적어도 6주 동안은 운동을 피하는 것이 좋습니다. 다음으로 아프지 않은 범위 내에서 육체적인 활동을 시작할 수 있습니다.
온라인 검사 예약 풍암동의 유명 내과에서는 네이버 예약 서비스를 통해 진료 외 시간외환자의 검사 예약을 지원하고 있습니다.
단, 이 서비스는 예약 확정이 아닌 본인과 유선통화를 통해 예약 확정이 된다는 사실에 유의하시기 바랍니다.
풍암동호 내과/건강검진센터 네이버 예약으로 내시경 검사 예약이 가능합니다. 수면/비수면 위내시경 수면/비수면 대장내시경 물약장정 결제 외 알약형 장정결제 선택가능 검사 후 속이 편한 한 CO2가스에 의한 대장내시경 *확장된 내시경실 및 추가 도입된 대학병원급 장비로 쾌적하고 정확한 검사를 받으실 수 있습니다.m.booking.naver.com
#풍암동초음파 #풍암동내과 #광주서구내과 #풍암동유명내과 #풍암동건강검진 #늑골골절 #기침흉통 #기침흉통 #미세골절 #풍암동초음파 #풍암동암진단최고건수 #소화기내시경전문의 #전문의2인진료병원위치 광주광역시 서구 풍암중앙로51호암빌딩,2층주차안내 광주광역시 서구 풍암동농협중앙로풍암동1번가농협중앙로
해당 건물 4층, 5층에 주차 가능합니다.소문난 내과 진료시 1시간 주차쿠폰을 드립니다.
대장내시경전문/내시경전문병원/갑상선전문/소화기내시경/초음파병원/초음파자세보기/초기위암/위암치유/갑상선암치유/감기전문병원/배가아플때병원/대장암치료/초기대장암치유/진단사례/종양치료/초기증상/암치료사례/당뇨조절